Request
Appointment

Welcoming patients of all ages with Canadian Dental Care Plan (CDCP) coverage!

Before & After

Here, we share before and after photos from happy patients who received restorative dental treatment at our Edmonton dental clinic. If you're looking for a Edmonton dentist, we’re here to help!

Before Azarko Dental Group Smile Gallery

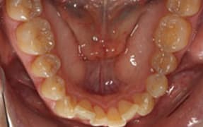
Before

After Azarko Dental Group Smile Gallery

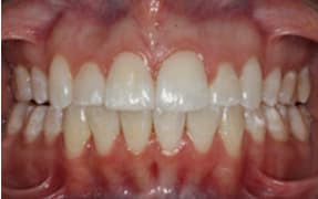
After

Before Azarko Dental Group Smile Gallery

Before

After Azarko Dental Group Smile Gallery

After

Before Azarko Dental Group Smile Gallery

Before

After Azarko Dental Group Smile Gallery

After

Before Azarko Dental Group Smile Gallery

Before

After Azarko Dental Group Smile Gallery

After

Before Azarko Dental Group Smile Gallery

Before

After Azarko Dental Group Smile Gallery

After

Before Azarko Dental Group Smile Gallery

Before

After Azarko Dental Group Smile Gallery

After

Before Azarko Dental Group Smile Gallery

Before

After Azarko Dental Group Smile Gallery

After

Before Azarko Dental Group Smile Gallery

Before

After Azarko Dental Group Smile Gallery

After

Before Azarko Dental Group Smile Gallery

Before

After Azarko Dental Group Smile Gallery

After

Before Azarko Dental Group Smile Gallery

Before

After Azarko Dental Group Smile Gallery

After

Before Azarko Dental Group Smile Gallery

Before

After Azarko Dental Group Smile Gallery

After

Before Azarko Dental Group Smile Gallery

Before

After Azarko Dental Group Smile Gallery

After

Before Azarko Dental Group Smile Gallery

Before

After Azarko Dental Group Smile Gallery

After

New Patients Always Welcome

Looking for a dentist in Edmonton? You've come to the right place! We are open 7 Days a Week.

Request Appointment

Request Appointment (780) 483-7079